Aquí te mostramos 3 casos muy representativos donde podrás ver de manera más clara hasta dónde se puede llegar con los tratamientos de ortodoncia en edad temprana.



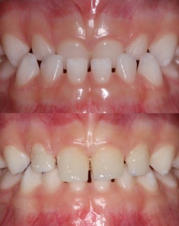
EJEMPLO PACIENTE EN CRECIMIENTO #1
Paciente de 4 años con clase III en dentición temporal completa y mordida cruzada anterior.
¿Qué hacemos? Pistas de composites en los incisivos y resolvemos la mordida cruzada anterior.
En una sola visita de a penas 30 minutos y seguimiento a partir de aquí.
¿No crees que le ha quedado una sonrisa preciosa?
EJEMPLO PACIENTE EN CRECIMIENTO #2
RX de un paciente todavía en tratamiento con mucho crecimiento vertical, que, al realizar expansión del maxilar y de la mandibula, conseguimos además una anterorotacion de la mandíbula
Uno de los principales problemas actualmente es el crecimiento vertical. Estos niños, al tener la boca abierta y la lengua abajo, crecen con las mandíbulas hacia abajo y hacia atrás.
Después de esto, le formaremos y acompañaremos en la corrección postural y respiración nasal.
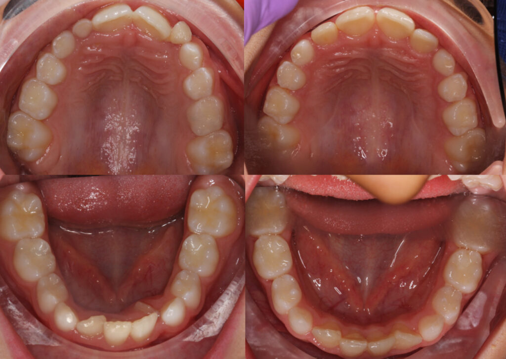
EJEMPLO PACIENTE EN CRECIMIENTO #3
¡¿Te has fijado en su arcada inferior?!
Increíble, donde no cabía el incisivo, ahora encaja gracias a la expansión vertical.
Con la aparatología correcta y la metodología adecuada, casi todo es posible a esta edad!

Curso de Ortodoncia en edad temprana
Aprende cómo resolver de manera eficaz casos como estos donde el paciente está en edad de crecimiento con ortodoncia interceptiva. Adelántate al problema y aprovecha las ventajas de una rápida intervención.

